What Is Eventration Of Right Hemidiaphragm
Clinically eventration of diaphragm refers to an abnormal elevation of one leaf of an intact diaphragm as a result of paralysis aplasia or atrophy of varying degrees of muscle fibers. Herniation of the intestines.
Severe Diaphragmatic Eventration Ctsnet
View chapter Purchase book.
What is eventration of right hemidiaphragm. Each side is called a hemidiaphragm and when one is found to be significantly higher than another its called an elevated or raised hemidiaphragm. If the diaphragm is working properly the muscle membrane is curved when relaxed flat and straight when we breathe. This condition usually leads to breathing difficulties.
Eventration of the diaphragm most frequently involves the anterior front portion of the right hemidiaphragm where the muscular portion of the diaphragm becomes replaced with a membranous sheath. This is a condition in which the diaphragm is placed at a much higher level than it normally is because it is paralyzed and fails to contract. Diaphragmatic eventration DE is the abnormal elevation of a portion or entire hemidiaphragm due to a lack of muscle or nerve function while maintaining its anatomical attachments.
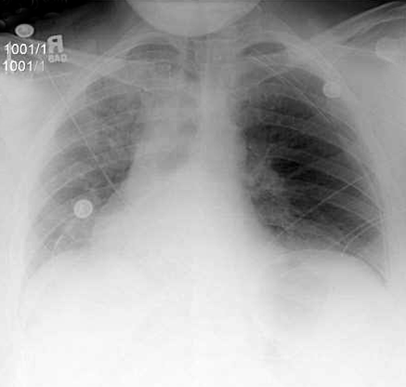
Dr Rohit Sharma and Radswiki et al. No pleural effusion or definite acute airspace consolidation. In some cases it may be difficult or impossible to distinguish from diaphragmatic paralysis.
As this muscle is shaped like an umbrella hemi refers to one semicircular half. Above the chest -- In the chest there may be atelectasis lung collapse lung fibrosis painful pleurisy pulmonary embolus or a rib fracture. It typically affects only a segment of the hemidiaphragm compared to paralysisweakness where the entire hemidiaphragm is typically affected.
Diaphragm paralysis is typically due to damage to the phrenic nerve. The left lateral chest radiograph facilitates identification of the right ribs and the normal ipsilateral right hemidiaphragm by virtue of their magnification as they are farthest from the image receptor. Raised or elevated hemidiaphragm can also be caused by a buildup of fluid in the abdomen a tumor a surgical complication or a cyst below the diaphragm.
Diaphragm eventration refers to an abnormal placement of the diaphragm the main muscle involved in breathing that is normally found below the lungs. In diaphragm eventration the diaphragm is located too high in the body either due to issues with the nerves that supply the muscle or the muscle itself. Abnormality of the diaphragm may be birth related.
This can be congential but there also appears to be an acquired form since it seems to become more common with age. In more severe cases this can compress the lungs and interfere with breathing. According to most authors true eventration is always a congenital condition due to a defect of development of one portion or the entire central part of the diaphragm 1-4 and is characterized by a membranous appearance of the muscle with a marked decrease in muscle fibers compared to the normal muscle 4 5.
Usually this is asymptomatic. Eventration of the diaphragm diaphragmatic eventration elevation of the dome of the diaphragm into the thoracic cavity usually due to phrenic nerve paralysis. The abnormality can be congenital or acquired thus presenting in both the pediatric and adult populations.
I had appointment for shortnessofbreath that doesn t resolve. Nurse said eventration is not a problem like elevation. A plication of the diaphragm is performed for paralysis or abnormally shaped diaphragm.
Chronic appearing pleural and parenchymal changes are seen bilaterally with partial eventration of the right hemidiaphragm. Diaphragmatic contour is eccentric with upward bulging of affected portion of diaphragm Usually anteromedial aspect of right hemidiaphragm Paralysis. Diaphragmatic eventration refers to an abnormal contour of the diaphragmatic dome with no disruption to the diaphragmatic continuity.
Surgical treatment is warranted in symptomatic patients so as to reduce the abnormal ascent of diaphragm. A hemidiaphragm is the right or left half of the diaphragm the muscle bisecting the torso that separates the thoracic cavity which houses the heart and lungs from the abdominal cavity which contains the stomach intestines and other organs of digestion and waste removal. The right hemidiaphragm is visualized in its entirety as there is no right lower lobe airspace disease.
What is the difference between elevated right hemidiaphragm and eventration. Asymmetric elevation of involved hemidiaphragm with basal atelectasis US Sonography superior to fluoroscopy for diaphragmatic abnormalities. Removal of the abdominal viscera.
Eventration of diaphragm is a congenital condition in which there is absence of muscle fibers in the diaphragm while maintaining all the anatomical attachments normally. The hemidiaphragm is the right or left portion of the human diaphragm. It most commonly is congenital present at birth and may result from a phrenic nerve problem or an abnormally thin diaphragm at birth.
In the diaphragm -- The hemidiaphragm may be paralyzed or lax because of damage to the phrenic nerve that controls the diaphragm or infiltration of the diaphragm by lung cancer or another tumor. Causes from above can include the collapse of a lung or broken ribs which destabilize the structure of the rib cage and may pull the diaphragm out of position. The diaphragm separates the chest cavity and abdomen rising and falling as we breathe.
Case Study Diaphragm Eventration With Differtials
Ct Scan Of The Chest Showing Complete Eventration Of Right Dome Of Download Scientific Diagram
Diaphragmatic Eventration Radiology Case Radiopaedia Org
Diaphragmatic Eventration Radiology Reference Article Radiopaedia Org
Severe Diaphragmatic Eventration Ctsnet
Diaphragmatic Eventration Radiology Reference Article Radiopaedia Org
Surgical Treatment Of Diaphragmatic Eventration Using Video Assisted Thoracic Surgery A Prospective Study The Annals Of Thoracic Surgery
Diaphragmatic Eventration Radiology Reference Article Radiopaedia Org
Eventration Of The Diaphragm Springerlink
Po Jui Ko Diaphragm Eventration
Elevated Hemidiaphragm Article
Is Surgical Plication Necessary In Diaphragm Eventration Ozkan Et Al 2015a Scipedia
Hemidiaphragm An Overview Sciencedirect Topics
Severe Diaphragmatic Eventration Ctsnet
Diaphragmatic Eventration Radiology Reference Article Radiopaedia Org
Eventration Of The Right Hemidiaphragm With Multiple Associations A Rare Presentation

